Después de un fin de semana sin sentarme a "bloguear" comienzo la semana escribiendo sobre algo que también es muy habitual en nuestras bocas. Después de tocar los "empastes" hoy voy a comenzar la semana hablando de lo que los dentistas llaman prótesis fija, que no es otra cosa que las "fundas" (coronas) y puentes que colocamos los dentistas.
La verdad es que este es un tema muy amplio y voy a empezar por los conceptos más sencillos.
Lo primero es explicar que una funda es como su nombre indica algo que recubre el diente. Las coronas se hacen para reconstruir dientes cuando estos necesitan grandes restauraciones por caries, por desgaste o porque necesitamos cambiar su forma para adecuarse a una forma de morder determinada (dicho de un modo sencillo). Las fundas requieren tallar o "recortar" el diente hasta que este deje espacio a su alrededor para que quepa una corona que tiene un espesor mínimo.
Por lo tanto las fundas restauran forma y función, deben tener un espesor mínimo que varía en función del material del que estén hechas y pueden tener el aspecto de los dientes sin parecer una restauración colocada por un dentista (aquí está lo más dificil).
Los puentes son lo mismo que una funda pero normalmente son dos dientes los que tienen que ser tallados y en medio suele haber un espacio donde había un diente y que ahora es restaurado por un diente que "conecta" las dos fundas.
En los últimos años se ha comenzado a extender el uso de restauraciones totalmente cerámicas, algo que va en beneficio de la estética de las restauraciones, en muchos casos sin menoscabo de función y durabilidad.
El problema es cuando este tema se usa como gancho publicitario. Para mí la única publicidad válida es la de los resultados de aspecto natural, buscando la armonía y que desde luego sean duraderos. El problema es cuando la gente piensa que una restauración cerámica es buena porque sí.
Vamos por partes, a día de hoy se podría decir que hay dos grupos de fundas definitivas: metal-cerámica y totalmente cerámicas. Con las dos se pueden conseguir buenos y malos resultados, no vayamos a pensar que un material te soluciona la vida. Precisamente disponemos de un gran abanico de opciones para adecuarnos a cada situación y es importante que el dentista controle las diferencias entre las distintas opciones.
Las fundas metal-cerámica históricamente eran de oro y cerámica o de una aleación preciosa (oro-paladio) y cerámica. Debido al precio del oro (que sube y sigue subiendo) se buscaron alternativas. Estas alternativas son principalmente el cromo-cobalto y el titanio. El problema del titanio que se está empezando a descartar es que la unión de titanio y cerámica es muy pobre, la estética tampoco es buena y por lo tanto es muy dificil de trabajar, así que descartado. Si alguien os dice que hace fundas de titanio echa a correr... La otra alternativa el cromo cobalto es mejor que el titanio, pero inferior a la aleación preciosa por cuestiones técnicas. Así que desgraciadamente tendremos que seguir con el oro si buscamos el mejor resultado en metal-cerámica.
En coronas totalmente cerámicas tenemos las que son solo de porcelana (coronas jacket, muy poco usadas porque exigen mucha precisión por parte de dentista y de técnico para que sean duraderas) y coronas con núcleos cerámicos. En general son las restauraciones que más nos interesan porque son traslúcidas (más o menos pero siempre algo traslúcidas) y desde el principio tienen un color claro que es más facil de trabajar.
Aquí tenemos núcleos de zirconia (que no zirconio como se suele decir, la zirconia es óxido de zirconio), alúmina (óxido de aluminio) y el disilicato de litio. Todos están bien, pero hay que conocer las distintas cualidades de los materiales. La zirconia se ha puesto muy de moda y ahora muchos anuncian "fundas de zirconio". Cuidadín cuidadín que no es oro todo lo que reluce, ni todas las zirconias son iguales. La zirconia sigue siendo a día de hoy una opción relativamente nueva y que todavía no controlamos al 100%, la zirconia tiene sus indicaciones pero también tiene sus problemas y no podemos pensar que tu dentista es fantástico porque usa zirconia, eso es de tontos de capirote (por no decir de otra cosa...). Los otros dos materiales cerámicos tienen sus indicaciones y en ocasiones son claramente superiores a la zirconia de hecho yo en la moyoría de casos prefiero el disilicato de litio. Así que ya iremos hablando las opciones totalmente cerámicas.
No me he olvidado de las fundas metal-cerámica. En ocasiones son la mejor opción para ciertos dientes, aquellos que son muy oscuros, negros (por tinciones metálicas) o tienen postes metálicos. Se pueden usar otros materiales cerámicos pero a veces nos interesa que la restauración sea opaca (como el metal) para controlar el color. Eso sí, estas restauraciones son complejas de hacer si se quieren conseguir resultados muy naturales y al ser de aleación preciosa preferiblemente no son baratas.
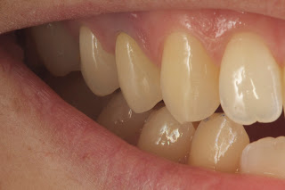
El premolar es una corona metal-cerámica sobre un diente muy oscuro.
Así que no os dejéis llevar por el tema de totalmente cerámicas, son más bonitas y más adecuadas en muchos casos, en especial en los dientes anteriores, pero el metal-cerámica no ha muerto, es más, bien trabajado funciona muy bien.
Tampoco penséis que la zirconia es el único material como parece an algunos foros, hay otros como ya os he contado y debemos saber cúal es la aplicación específica de cada uno.
Por último recordaros que el material influye en el resultado, pero lo que más influye son las manos de dentista y del técnico de prótesis dental y no todos somos iguales. Me da rabia cuando alguien piensa que las coronas de zirconia son todas iguales, algunos dentistas cobran por una corona lo que a otros les cuesta fabricarlas, ¿pueden ser lo mismo? ¡Ni de coña! Siempre recalco que la calidad hay que pagarla.
En la mayoría de los casos lo barato sale caro. Algún día os contaré una historia curiosa...



Una "funda" es una corona que cubre todo tu diente, y lo mejor que te pueden poner es porcelana IPS eMax de la compañia Ivoclar; son muy resistentes y estéticas !!!
ResponderEliminarHola "Eze",
ResponderEliminarEl sistema IPS e.max de Ivoclar es un sistema muy bueno y que es de mi eleccion en la mayoría de mis tratamientos, IPS e.max es disilicato de litio que ya he nombrado y del que hablaré en futuros posts.
Otra cosa es la porcelana e.max ceram de Ivoclar. La porcelana que recubre la estructura interna depende más del hábito del técnico de prótesis dental. Hay muchas porcelanas de gran calidad: e.max ceram de Ivoclar, Creation de Geller, Initial de GC, Cerabien ZR de Noritake, Vita, etc. Ahí lo que importa es tanto la cerámica como el ceramista y si tu técnico es un mago con Noritake o Creation, no le cambies.
Un saludo,
Jon Gurrea
Hola Jon,
ResponderEliminarHe llegado a tu post porque tengo los premolares que no molan nada... Jeje
El 15 y el 25 y me dicen que tengo que ponerme una funda en uno y en otro un implante :(
Después de visitar 3 clínicas para asegurarme que no me dicen chorradas acabe con 3 presupuestos completamente diferentes para hacer la misma cosa! Y he visto que lo que variaba eran los materiales..
Te quería agradecer por el post y decirte que me decantare por el de metal cerámica y espero que el chico dentista tenga buenas manos!!
EliminarEn el implante me pondrán un perno muñón colado indirecto de crom cobalto
Y espero que eso esté bien.
Lo dicho, muchas gracias te iré leyendo Jon!
El metal-cerámica estará bien en la medida que el ceramista sea habilidoso y el dentista talle suficiente diente para dejar espacio al técnico. El cromo-cobalto no es el mejor metal, la aleaciones preciosas y semipreciosas son mejores, pero mucho más caras.
EliminarUn saludo!
Hola me llamo Mar tengo 34 años,me van a poner toda la parte superior de zirconio
ResponderEliminarComo puedo yo saber si es de verdad ese material? Es duradero? tengo pánico ya que un familiar lo hace 30 años le hicieron lo mismo,pero no se de que material,y resulta que alcabo de unos 10 años,comiendo un caramelo,se le cayo(lo llevaba todo de una pieza,fija) Y resulta que la sorpresa fue es que tenia todos los dientes podridos. Tuvieron que arrancarle todos los muñones,y coserle toda la boca(zona superior)
Entonces yo estoy aterrorizada y si se me pican y cogen caries los muñones????
No se si he tomado una buena decisión
Me podría dar su opinión por favor???
Gracias
Saludos
A ver, esto no es un consultorio dental online.
ResponderEliminarPero no entiendo por qué a día de hoy se le tienen que tallar todos los dientes en el caso de que con 34 años los tenga sanos, en el caso de que no los tenga sanos y ya tengan restauraciones quiero que entiendas que el material no tiene influencia en que las coronas filtren.
Lo que influye es la precisión y el ajuste que se obtenga y al hacer todo unido... No es lo más habitual. Si a tu familiar se le "pudrieron" es porque las restauraciones no ajustarían y filtraron (que es como tener caries). Conseguir que todo ajuste estando hecho de una pieza es dificil. Y que tus dientes vayan a durar eternamente por el hecho de tener una funda no solo no es posible si no que es más facil que no ocurra. Cuanto más diente, mejor.
Lo que más me intriga es que te tengas que tallar todos los dientes. Hay que optar por opciones conservadoras en la medida de lo posible y más cuando con 34 años te quedan mucho muchos años de vida en que tus dientes deben darte servicio.
Por otra parte, la zirconia es duradera, pero lo que realmente importa es que duren tus dientes.
Un saludo.
Hola de nuevo
EliminarLo primero pedirle disculpas,ya se que este blog no es un consultorio online,pero tengo mis dudas y no quiero exponérselas a mi odontólogo,porque el seguro me dara respuestas a su favor.
Le explico brevemente, me tuvieron que tallar todos los dientes porque ya estaban bastante deteriorados,algunos ya tenían muchos empastes hechos..etc..y el resto no tenia solución.
Entonces me harán la protesis en tres piezas de zirconia
Por lo que veo no me será de mucha solución,es decir,se me podrán ir haciendo caries aunque cuide mucho la limpieza bucal?
De nuevo me disculpo espero no haberle causado molestias
Gracias
Un saludo
después de endodoncia hay que poner siempre corona? si el diente está conservado, no basta un inlay? mi dentista me dijo que necesitaba una corona, me ha tallado la muela y por diferentes problemas hace 4 meses que tengo la muela tallada pero no me ha podido poner la corona, ¿puede haber algún problema?
ResponderEliminarSoy bruxista y me voy a hacer una reconstrucción parcial de los dientes que tengo mas gastados: incisivos, caninos y tal vez premolares (estos últimos por estética). Previamente a la reconstrucción he hecho ortodoncia pera "subir" la mordida.
ResponderEliminarYa hace 16 años que uso férula y estoy a punto de cumplir 50.
El dentista al que he ido me aconseja disilicato de litio. ¿Qué material aconsejas en mi caso, ja que tengo un bruxismo severo?
Muchas gracias,
Disculpa por retrasar tanto la respuesta y sé que llegaré tarde, pero el disilicato es desde luego una buena opción que además puede ser más conservadora.
EliminarTengo 20años mi odontola me quiere hacer los cuatro dientes de arriba frontales tallado y coronas de zirconio y porcelana las paletas estan desgastadas y reparadas pero sin conducto y los del Costado tienen princio de caries,no tengo duda en aserme coronas en las paletas pero los del costado se pueden reparar si no tienen conducto echo y reparaciones todavia no entiendo por que mi odontologa me quiere hacer los cuatro juntos?
ResponderEliminarSi tienes 20 años hacerte coronas completas destruyendo mucha estructura dental sana no tiene demasiado sentido. Pero ni sé cómo están tus dientes ni nada. Vuelvo a decirlo, esto no es un consultorio dental online. Un saludo.
EliminarTe tengo una consulta, ¿hay alguna diferencia entre la zirconia con resina y silicato de zirconio con resina? espero me despejes la duda...........
ResponderEliminarZirconia y Disilicato se recubren con cerámica normalmente, no con resina.
Eliminarme puedes informar la diferencia de precio en fundas para dientes de disilicato emax, las de porcelana con metal y las de zirconia gracias. vicky
ResponderEliminarNo tiene por qué haber diferencia de precio, depende del metal, depende de la zirconia y depende del silicato o disilicato. No son comodities, una corona metal-cerámica puede ser más cara que una de zirconia si el técnico y el dentista que hacen esa corona son mejores que los que hacen una corona de disilicato o zirconia. Es un trabajo artesanal y a medida y se valoran muchas más cosas que los materiales.
EliminarUn saludo.
Me gusto, aclaro muchas dudas me dio conocimiento i me encanto la manera de explicar i hacer entender muy muy bueno gracias
ResponderEliminarhola jhon en enero me hicieron un puente dental de material metal porcelana pero me quedo tosco lo siento robustes en los dientes tengo treinta años, he ido a otra clinica me diejro que otra opcion seria un implante y dos coronas de material de zirconia para que quede mejor esteticamente le consulto ese seria otra opcion o arreglar el puente... ??
ResponderEliminarhola jhon en enero me hicieron un puente dental de material metal porcelana pero me quedo tosco lo siento robustes en los dientes tengo treinta años, he ido a otra clinica me diejro que otra opcion seria un implante y dos coronas de material de zirconia para que quede mejor esteticamente le consulto ese seria otra opcion o arreglar el puente... ??
ResponderEliminar